Diyabet ve Mesane Kanseri

Diyabet ve Mesane Kanseri

Diyabet ve mesane kanseri arasındaki ilişki, araştırmaların hala üzerinde çalıştığı bir konudur. Bazı çalışmalar diyabet ile mesane kanseri arasında olası bir ilişkiyi işaret etmektedir. Diyabetin kendisi doğrudan mesane kanseri yapmasa
Mesane Kanseri ve Robotik Cerrahi

Mesane Kanseri ve Robotik Cerrahi

Mesane Kanseri ve Robotik Cerrahi, modern tıbbın birleşiminden doğan önemli bir tedavi yöntemidir. Mesane kanseri, idrar kesesinde başlayan ve genellikle cerrahi müdahale gerektiren bir hastalıktır. Robotik cerrahi, bu tür kanserlerin
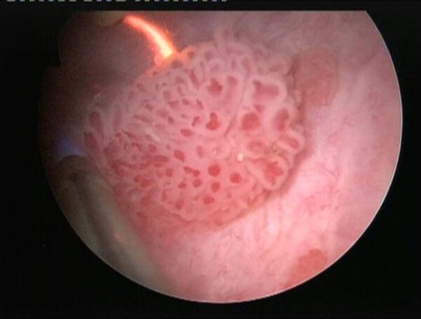
İyi Huylu Mesane Tümörleri

İyi Huylu Mesane Tümörleri

İyi huylu mesane tümörleri, mesanenin kanser olmayan tümörleridir. Mesanenin bu iyi huylu tümörleri, mesanede oluşan ve kansere dönüşme riski taşımayan anormal doku büyümeleridir. Bu tümörler genellikle yavaş büyürler ve vücudun
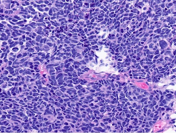
Varyant Ürotelyal Karsinomlar

Varyant Ürotelyal Karsinomlar

Varyant Ürotelyal Karsinomlar, klasik ürotelyal karsinomdan histolojik olarak farklı özellikler sergileyen tümörlerdir. Bu varyantlar genellikle daha agresif bir seyir izler, tedaviye yanıtları değişkendir ve prognozu etkiler. Mesane kanseri, mesane duvarını
İlaç Kullanımı ve Mesane Kanseri İlişkisi

İlaç Kullanımı ve Mesane Kanseri İlişkisi

İlaç kullanımı ve mesane kanseri ilişkisi, son yıllarda yapılan araştırmalarla giderek daha fazla dikkat çeken bir konu haline gelmiştir. İlaç kullanımı, bireylerin sağlıklarını iyileştirmek amacıyla yaygın olarak başvurdukları bir yöntemdir.
Alkol ve Mesane Kanseri İlişkisi

Alkol ve Mesane Kanseri İlişkisi

Alkol ve mesane kanseri arasında bir ilişki var mı? Alkol kullanımı, pek çok kanser türüyle ilişkilendirilmiştir. Özellikle özofagus, karaciğer, larinks ve meme kanseri gibi çeşitli kanser türlerinin riskini artırdığına dair
Su Tüketimi ve Mesane Kanseri İlişkisi

Su Tüketimi ve Mesane Kanseri İlişkisi

Su tüketimi ve mesane kanseri ilişkisi merak edilen konulardandır. Yüksek sıvı alımının mesane kanseri riskini azaltabileceğine dair çeşitli araştırmalar yapılmış, ancak bu konuda net bir görüş birliği sağlanamamıştır. Yüksek miktarda
Beslenme ve Mesane Kanseri İlişkisi

Beslenme ve Mesane Kanseri İlişkisi

Beslenme ve mesane kanseri arasındaki ilişkiyi merak ediyorsanız bu yazıyı okumaya devam edin. Mesane kanseri, idrar yoluyla atılan besin ve artıklarının uzun süre mesanenin içini döşeyen tabaka (ürotelyum) ile etkileşime
Çocuklarda Mesane Kanseri Olur Mu?

Çocuklarda Mesane Kanseri Olur Mu?

Çocuklarda mesane kanseri nadiren de olsa görülebilir. Burada kast edilen mesane kanseri üretelyal mesane kanseridir. Mesane kanseri (ürotelyal kanser), genellikle yetişkinlerde ve daha çok yaşlılarda ortaya çıkan bir durumdur. Çocuklarda
Ortotopik Neobladder (Yapay Mesane)

Ortotopik Neobladder (Yapay Mesane)

Ortotopik neobladder (yapay mesane), mesanenin çıkarılmasından sonra, hastaların doğal idrar yapma fonksiyonlarını sağlamak için yapılan bir cerrahi işlemdir. Bu ameliyat, daha çok mesane kanseri nedeniyle mesanenin alınması gereken hastalarda uygulanır.
WhatsApp İletişim