Ürotelyal Papillom
Ürotelyal papillom, iyi huylu bir ürotelyal neoplazidir. Ürotelyal zeoplazi, idrar yollarını (mesane, üreterler, böbrek ve üretra) kaplayan özel bir tabaka olan ve üretelyum adı verilen tabakadaki hücrelerin anormal olarak büyümesi anlamına gelir. Bu anormal hücresel büyüme iyi huylu (benign) veya kötü huylu (malign) olabilir. Ürotelyal neoplazi, papiller ürotelyal neoplazi gibi iyi huylu formlarından, ürotelyal karsinom gibi kötü huylu yani kanser formlarına kadar geniş bir yelpazede görülebilir.
Ürotelyal Papillom Nedir?
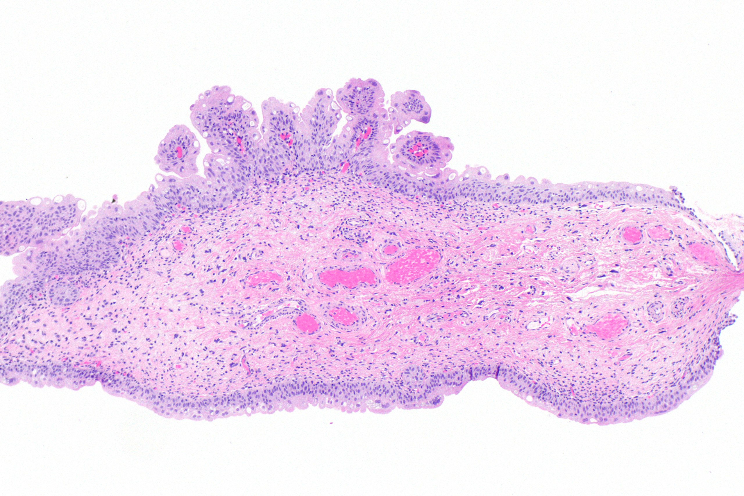
Papillomlar, üretelyum tabakasındaki hücrelerde iyi huylu anormal büyümedir. Büyüyen bu hücreler gerek mikroskopla bakıldığında gerekse çıplak gözle olarak parmaksı çıkıntılar oluşturur. Bu parmaksı çıkıntılar, bağ dokusu hücreleri, damarlar ve eoitel hücrelerinden oluşur.
Mesanede görülen papiller ürotelyal neoplazilerin %1’inden azını oluşturur. Her yaşta görülebilmesine rağmen, genellikle 50-60 yaş aralığındaki erkeklerde kadınlara göre 2-4 kat daha sık görülür. Ürotelyal neoplazilere sekonder olarak gelişen ürotelyal papillomlar, daha ileri yaşlarda izlenir.
Papilloma ile Papiller Ürotelyal Karsinom Arasındaki Fark Nedir?
Papilloma ve papiller ürotelyal karsinom, her ikisi de ürotelyumdan (idrar yollarını döşeyen hücreler) kaynaklanan tümörlerdir. Ancak bu iki tümörün davranışları ve tedavisi önemli farklılıklar gösterirler.
Temel farklar;
Ürotelyal Papilloma
- İyi huylu: Bu, papillomanın kanserli olmadığı anlamına gelir.
- Papiller büyüme: Mikroskop altında parmak benzeri çıkıntılar (papiller) olarak görünür.
- Düşük tekrarlama riski: Çıkarıldıktan sonra tekrarlama olasılığı düşüktür.
- Tedavi: Genellikle cerrahi olarak çıkarılır ve genellikle başka tedavi gerektirmez.
Papiller Ürotelyal Karsinom
- Kötü huylu: Bu, papiller ürotelyal karsinomun kanserli olduğu ve vücudun diğer bölgelerine yayılabileceği anlamına gelir.
- Papiller büyüme: Ürotelyal papilloma gibi, mikroskop altında parmak benzeri çıkıntılar olarak görünür.
- Yüksek tekrarlama ve ilerleme riski: Tedaviden sonra tekrarlama ve daha invaziv hale gelme olasılığı daha yüksektir.
- Tedavi: Tümörün derecesine ve evresine bağlı olarak cerrahi, kemoterapi, immünoterapi veya radyasyon tedavisi gibi çeşitli tedaviler kullanılabilir.
Temel Farklılıklar
| Özellik | Ürotelyal Papilloma | Papiller Ürotelyal Karsinom | 
|---|---|---|
| Huy | İyi huylu | Kötü huylu | 
| Büyüme | Papiller | Papiller | 
| Tekrarlama Riski | Düşük | Yüksek | 
| İlerleme Riski | Yok | Var | 
| Tedavi | Cerrahi olarak çıkarma | Cerrahi, kemoterapi, immünoterapi, radyasyon tedavisi | 
Ürotelyal Papillom Belirtileri
Papillomlar, genellikle mikroskopik ya da makroskopik hematüri ile kendini belli eder. Yani yapılan idrar tahlilinde idrarda kan görülür ya da idrardaki kan bazen gözle de görülebilir.
Papillom Tanısı

Ürotelyal Papillomun Sistoskopik Görünüm
Papillomlar, genellikle sistoskopi ve biyopsi ile tanı konan bir hastalıktır. Sistoskopi sırasında mesanede veya ürotelyal epitel içeren diğer bölgelerde papiller yapılar gözlemlenir. Biyopsi alınarak, papiller dokunun mikroskopik incelemesi yapılır. Mikroskopik incelemede, papilla yapılarının düzgün sınırlı, ince ve anastomozlaşan trabeküler yapılar oluşturduğuna bakılır. Ürotelyal papillomun, inverted ürotelyal karsinom ve Von Brunn adalarından ayırt edilmesi önemlidir.
Papillom Tedavisi
Papillomlar genellikle iyi prognoza sahiptir ve tedavi genellikle tümörün tamamen çıkarılmasıyla yapılır. Ürotelyal papillomun tedavisi cerrahi müdahale ile yapılır. Uygulanan tedavi yöntemi, ürotelyal papillomun transüretral rezeksiyon (TUR) yöntemi ile çıkarılmasıdır.
Bu işlem sırasında israr kanalından kamera ile girilerek mesane içindeki üretelyal papillom elektriksel rezeksiyon ile alınır. Tümör küçük ve tek odaklı ise, bu tedavi genellikle yeterlidir.
Papillomlar, nadiren de olsa tekrarlayabilir, bu nedenle tedavi sonrası düzenli takip yapılması önemlidir. Takip sırasında sistoskopik incelemelerle tümörün tekrar edip etmediği izlenir. Eğer tekrar ederse, cerrahi müdahale tekrar edilebilir.
Progroz
Ürotelyal papillom kanser değildir ve papillomun maligniteye dönüşme riski düşüktür. Tedavi sonrası prognoz genellikle iyidir, ancak hastaların düzenli izlenmesi ve izlemde herhangi bir anormallik tespit edildiğinde tedaviye devam edilmesi gereklidir. Başlangıçta benign davranış gösterdiği düşünülse de, günümüzde rekürrens riski ve malignite potansiyeli olan vakalar olduğu bilinmektedir. Rekürrens oranı vakaların %2’sinden azdır.
Prof. Dr. Yusuf İLBEY
Üroloji Doktoru
Kaynak:
- https://www.pathologyoutlines.com/topic/bladderpapilloma.html
- https://pmc.ncbi.nlm.nih.gov/articles/PMC8915383/

Üroloji Doktoru
Mesane kanseri, tanı ve tedavisi ve yapay mesane alanında uzmandır. İstanbul’da hasta kabul etmektedir.
 
 
