Kasa İnvaze Olmayan Mesane Kanseri (Yüzeyel Mesane Kanseri)
Kasa invaze olmayan mesane kanseri (ya da non-invaziv mesane kanseri), kanser hücrelerinin mesanenin kas tabakasına (dış tabaka) ulaşmadan sadece mesanenin iç yüzeyinde (mukoza) sınırlı olduğu bir evredir. Yüzeyel mesane kanseri, kası tutmayan mesane kanseri olarak ta bilinir. Kasa invaze olmayan mesane kanseri, mesane kanserinin daha erken evresidir ve tedaviye daha iyi yanıt verme eğilimindedir. Kasa invaze olmayan mesane kanseri, genellikle daha iyi bir seyir gösterir, çünkü tümör henüz mesanenin kas tabakasına ulaşmamıştır ve daha az yayılma eğilimindedir.
- Kasa İnvaze Olmayan Mesane Kanseri Ne Demek?
- Kasa İnvaze Olmayan Mesane Kanseri Türleri
- Kasa İnvaze Olmayan Mesane Kanseri Evreleri
- Kası Tutmayan Mesane Kanseri Evreleri Belirtileri
- Yüzeyel Mesane Kanserinin Tanısı
- Kasa İnvaze Olmayan Mesane Kanserinin Tedavisi
- Kasa İnvaze Olmayan Mesane Kanserinde İzlem ve Kontrol
- Kasa İnvaze Olmayan Mesane Kanseri Prognozu
Kasa İnvaze Olmayan Mesane Kanseri Ne Demek?
Kasa invazyonu olmayan mesane kanseri, mesanenin duvarındaki dış tabakayı (kasa) henüz aşmamış ve sadece iç tabakalarda sınırlı kalmış olan mesane kanseri türünü ifade eder. Bu durumda, kanser hücreleri mesanenin daha yüzeysel katmanlarında yer alır, kas tabakasına (kasa) ve daha derin yapılarına yayılmamıştır. Kasa invazyonu olmayan mesane kanseri genellikle daha düşük risk taşır ve tedavi seçenekleri daha geniştir. Ancak, bu kanser türü tedavi edilmezse, zamanla ilerleyebilir ve daha ciddi aşamalara dönüşebilir. Bu nedenle, erken teşhis ve tedavi önemlidir.
Kasa İnvaze Olmayan Mesane Kanseri Türleri
Kasa invaze olmayan mesane kanseri türleri;
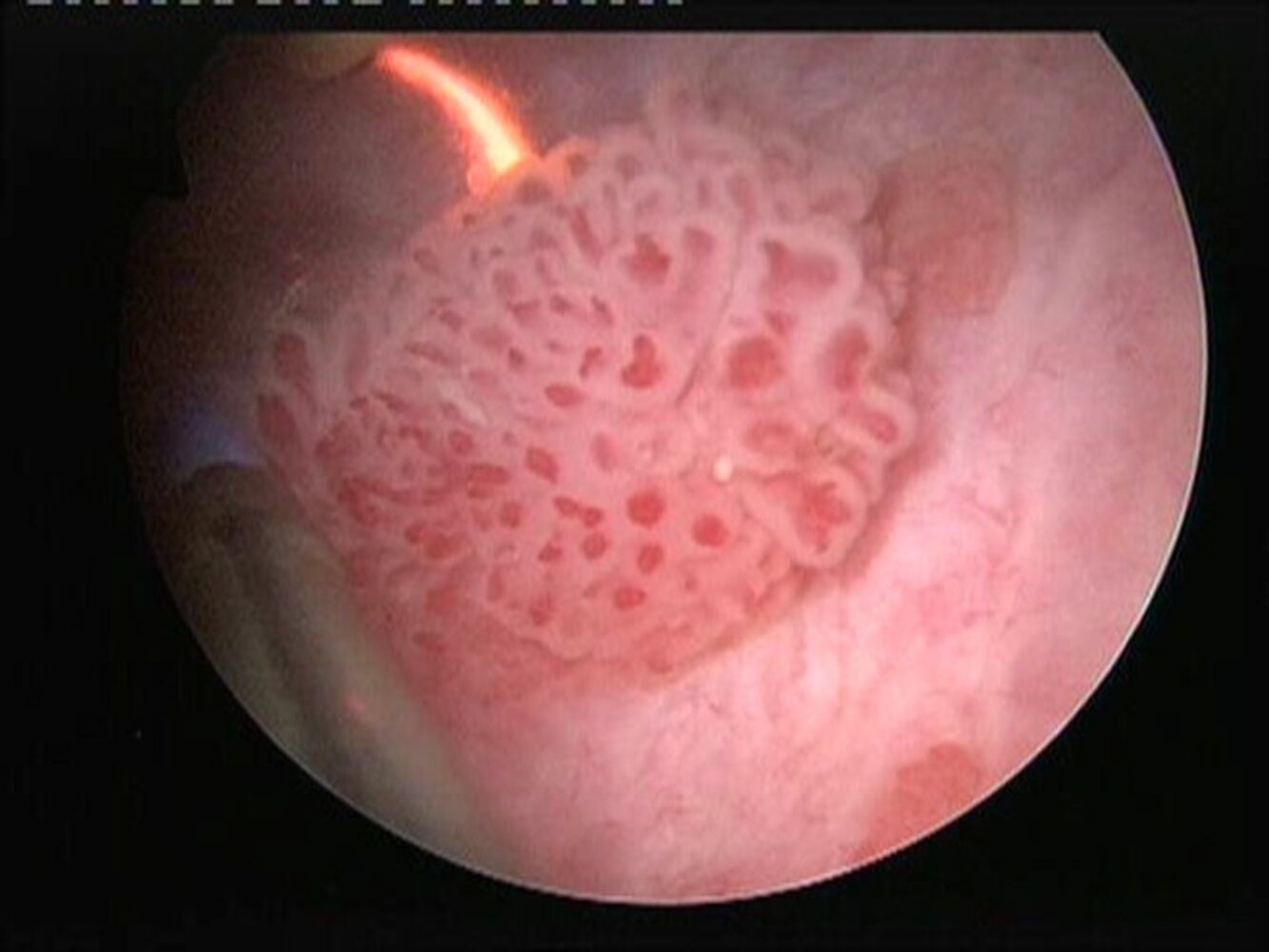
Papiller Mesane Kanseri
Papiller kanser; mesanenin iç yüzeyine yapışan ve genellikle ince saplara sahip olan, karnabahar gibi görünen tümörlerdir. Bu tümörler, mesanenin iç yüzeyinde serbestçe büyür ve genellikle mesanenin dış tabakalarına, kas tabakasına invazyon yapmazlar. Papiller mesane kanserleri genellikle iyi huyludur ancak zamanla ilerleyebilir ve invaziv hale gelebilir. Bu nedenle, tedavi edilmeden bırakılmamalıdır.
Düz (Flat) Mesane Kanseri
Düz kanserler genellikle mesanenin iç yüzeyinde yayılma eğilimindedir ve papiller kanserlere göre daha agresif olabilirler. Bu kanserler genellikle yassı lezyonlar şeklinde olup mesanenin yüzeyine yayılabilir ve bazen mesanenin daha derin katmanlarına invazyon yapabilir. Düz kanserler, yüksek dereceli (high-grade) olabilir, yani daha hızlı büyüyen ve daha fazla yayılma potansiyeli olan kanser türleridir.
Düz mesane kanseri, mesanenin iç yüzeyinde düz bir şekilde yayılan ve genellikle belirgin bir tümör kütlesi oluşturmayan bir kanser türüdür. CİS (Karsinoma in situ) olarak da bilinir. Bu tür kanser, “in situ” yani yerleşik kanser olarak da adlandırılabilir, çünkü kanser hücreleri mesanenin yüzeyindeki epitelyum tabakasında sınırlıdır ve henüz çevre dokulara yayılmamıştır. Düz mesane kanseri genellikle erken evrede teşhis edilirse, tedavi edilmesi daha kolaydır; ancak tedavi edilmezse zamanla ilerleyebilir ve mesanenin daha derin katmanlarına veya vücuda yayılabilir. Bu tür kanser, genellikle kanlı idrar (hematüri) gibi belirtilerle kendini gösterebilir. Erken tanı ve müdahale, bu tür kanserin başarılı bir şekilde tedavi edilmesinde önemli rol oynar.
Kasa İnvaze Olmayan Mesane Kanseri Evreleri
Mesane kanseri evreleri “Ta, T1, T2” gibi kategorilerle belirlenir ve her bir evre kanserin mesanedeki yayılımını gösterir. Kasa invaze olmayan mesane kanseri , CİS, Ta ve T1 evrelerinde yer alır.
- Ta evresi: Kanser, mesanenin yüzey tabakasına sınırlıdır ve kas tabakasına invazyon yapmamıştır. Bu, en erken evre mesane kanseri türüdür ve tedavi edilebilir.
- T1 evresi: Kanser hücreleri, mesanenin iç yüzeyinden daha derinlere, ancak henüz mesanenin kas tabakasına ulaşmadan mesanenin lamina propria tabakasına (bağ dokusu) yerleşmiştir. Bu evre, hala invaziv olmayan ancak daha agresif olabilir.
- CİS evresi: CİS (Carcinoma in situ) evresi mesane kanseri, mesanenin iç yüzeyini örten mukoza tabakasında yerleşik olan, henüz kas tabakasına veya çevre dokulara yayılmamış, yüksek dereceli bir kanser türüdür.
Kası Tutmayan Mesane Kanseri Evreleri Belirtileri
Kası tutmayan mesane kanserinin belirtileri, kasa invaze mesane kanseri ile benzerdir. Başlıca belirtiler şunlardır;
- İdrarda Kan (Hematüri): Mesane kanserinin en yaygın belirtisidir. Kanama genellikle görülür kanama şeklinde olur, yani idrar kırmızı veya pembe renkte olabilir.
- İdrar Yaparken Ağrı veya Yanma: Bu, kanserin veya diğer idrar yolu hastalıklarının bir belirtisi olabilir.
- Sık İdrara Çıkma veya Acil İdrara Çıkma İsteği: Kanserin mesane üzerinde baskı yapması sonucu sık idrara çıkma hissi oluşabilir.
- Pelvik veya Alt Karın Bölgesinde Rahatsızlık: Kanserin mesaneye baskı yapması sonucu pelvik bölgede rahatsızlık hissi olabilir.
Yüzeyel Mesane Kanserinin Tanısı
Kasa invaze olmayan mesane kanserinin tanısı için aşağıdaki yöntemler kullanılır;
- Sistoskopi: Mesanenin iç yüzeyini görmek için kullanılan bir prosedürdür. Sistoskop adı verilen ince bir tüp, idrar yolundan mesaneye sokularak mesanenin içi görüntülenir. Sistoskopi sırasında, şüpheli bir alan varsa biyopsi almak mümkündür.
- İdrar Testleri: İdrarda kanser hücrelerinin varlığını tespit etmek için yapılan testlerdir. UroVysion gibi testler, mesane kanserinin biyolojik işaretlerini tespit etmek için kullanılabilir.
- Görüntüleme Testleri: Bilgisayarlı tomografi (BT), manyetik rezonans görüntüleme (MR) veya ultrason gibi yöntemlerle mesanenin durumu değerlendirilir ve kanserin yayılımı incelenir.
- Biyopsi: Sistoskopi sırasında şüpheli bir doku alınarak patolojik inceleme yapılır. Biyopsi, kanserin varlığını ve türünü kesin olarak tanımlar.
Kasa İnvaze Olmayan Mesane Kanserinin Tedavisi
Kasa invaziv olmayan mesane kanseri tedavisi, kanserin evresine, tipine ve hastanın genel sağlık durumuna bağlı olarak değişir. Tedavi seçenekleri şunlardır:
Cerrahi Tedavi
Transüretral Rezeksiyon (TUR-M): Kasa invaziv olmayan mesane kanseri tedavisinin birincil yöntemidir. Bu prosedürde, kanserli doku sistoskopi kullanılarak mesaneden cerrahi olarak çıkarılır. Bu yöntem, genellikle kanserin mesane duvarına invazyon yapmadan tedavi edilmesini sağlar.
Bacillus Calmette-Guérin (BCG) Aşısı
BCG aşısı, mesane kanserinin tekrarlamasını önlemek için yaygın olarak kullanılan bir tedavi yöntemidir. TURBT sonrası, mesaneye doğrudan BCG bakterisi enjekte edilir. Bu tedavi, bağışıklık sistemini kanser hücrelerine karşı uyarır ve kanserin tekrar etmesini engellemeye yardımcı olabilir.
Kemoterapi ve İmmünoterapi
Bazı durumlarda, özellikle kanserin yüksek dereceli (high-grade) olduğu durumlarda, intravezikal kemoterapi (mesaneye doğrudan kemoterapi ilacı uygulama) veya immünoterapiler (örneğin, Checkpoint inhibitörleri) kullanılabilir. Bu tedaviler, kanserin tekrarını engellemeyi hedefler.
Kasa İnvaze Olmayan Mesane Kanserinde İzlem ve Kontrol
Kasa invaziv olmayan mesane kanseri tedavisinin ardından, düzenli izlem ve kontrol önemlidir. Yüksek riskli hastalar, kanserin tekrar etme riski nedeniyle daha sık takip edilmelidir.
Kasa İnvaze Olmayan Mesane Kanseri Prognozu
Kasa invaziv olmayan mesane kanseri genellikle daha iyi prognoz gösterir çünkü kanser hücreleri mesanenin kas tabakasına ulaşmamıştır ve bu da tedavi şansını artırır. Ancak, tedavi edilmediğinde veya erken evrede teşhis edilmediğinde, bu kanser türü zamanla invaziv hale gelebilir ve daha ciddi sağlık sorunlarına yol açabilir.
Erken teşhis ve uygun tedavi ile, kasa invaziv olmayan mesane kanseri hastalarının uzun dönem sağkalım oranları yüksektir. Ancak, kanserin tekrarlama olasılığı olduğu için düzenli izleme ve takip gereklidir.
Sonuç:
Kasa invaze olmayan mesane kanseri (kası tutmayan, yüzeyel mesane kanseri), tedaviye daha iyi yanıt veren bir kanser türüdür. Bu durumda kanser hücreleri, mesanenin daha yüzeyel katmanlarında sınırlı kalır ve kas tabakasına henüz yayılmamıştır. Tedavi seçenekleri arasında cerrahi müdahale, intravezikal tedavi (mesaneye ilaç verilmesi) ve BCG tedavisi bulunur. Erken teşhis, tedaviye başlanması ve düzenli izleme, hastalığın ilerlemesini engellemek ve nüks riskini azaltmak için kritik öneme sahiptir. Ancak, tedavi edilmezse kasa invazyonu olmayan mesane kanseri zamanla daha ileri evrelere geçebilir, bu yüzden sürekli takip ve tedavi önemlidir.
Kaynak: https://www.urologyhealth.org/urology-a-z/n/non-muscle-invasive-bladder-cancer
Prof. Dr. Yusuf İLBEY
Üroloji Doktoru

Üroloji Doktoru
İlgi alanları arasında mesane kanseri ve yapay mesane bulunmaktadır. Hastalarına tıbbi değerlendirmeleri doğrultusunda tedavi sürecine katkı sağlamaktadır.