Yapay Mesane Nasıl Kullanılır?

Yapay Mesane Nasıl Kullanılır?

Yapay mesane nasıl kullanılır? Radikal sistektomi sonrası mesanenin çıkarılması gereken hastalarda bağırsak dokusundan oluşturulan yapay mesane (neobladder), idrarın doğal yolla atılmasına imkân sağlar. Ancak doğal mesaneden farklı çalıştığı için, hastaların
Yapay Mesane Ameliyatı Sonrası Cinsellik

Yapay Mesane Ameliyatı Sonrası Cinsellik

Yapay mesane ameliyatı sonrası cinsellik ile ilgili merak edilen konular, hem erkek hem de kadın hastalar için önem taşır. Radikal sistektomi sonrası bağırsaktan oluşturulan yapay mesane, hastaya idrarını normal yolla
Mesane Kanseri Cinsel Yolla Bulaşır Mı?

Mesane Kanseri Cinsel Yolla Bulaşır Mı?

Mesane kanseri cinsel yolla bulaşır mı sorusu, gerek mesane kanseri olan hastalar gerekse ve mesane kanseri olan hastaların eşleri tarafından çok merak edilen konular arasında yer alır. Mesane kanseri, en
Mesane TUR Ameliyatı Kaç Kere Yapılır?

Mesane TUR Ameliyatı Kaç Kere Yapılır?

Mesane TUR ameliyatı kaç kere yapılır? Mesane tümörlerinin tanı ve tedavisinde uygulanan TUR-M (Transüretral Rezeksiyon) ameliyatı, bazı hastalarda tek seferde yeterli olurken, bazılarında birden fazla kez tekrarlanabilir. Tekrar gereksinimi; tümörün
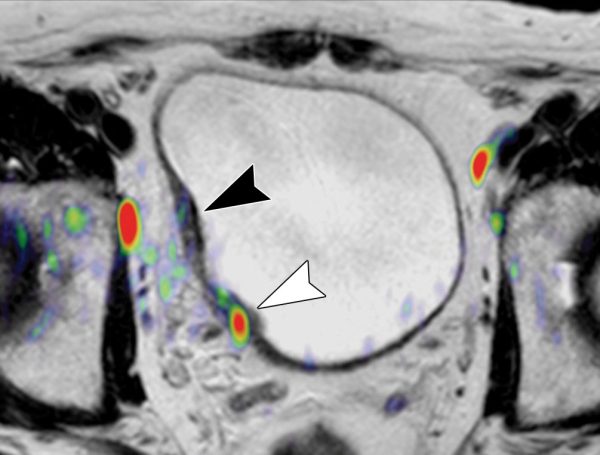
Mesane Kanseri Neden Olur?

Mesane Kanseri Neden Olur?

Mesane kanseri neden olur? Mesane kanseri sık görülen bir kanser türüdür. Erkeklerde kadınlara göre daha sık görülmektedir. Daha çok 50 yaş üzerindekilerde görülse de, daha genç yaşlarda da ortaya çıkabilir.
Mesane Kanseri Ölüm Riski

Mesane Kanseri Ölüm Riski

Mesane kanseri ölüm riski taşıyan ciddi bir hastalıktır. Ancak, ölüm riski kanserin evresine, hastanın genel sağlık durumuna ve tedaviye yanıta bağlı olarak değişir. Erken teşhis edilen ve tedavi edilen mesane
Gençlerde Mesane Kanseri

Gençlerde Mesane Kanseri

Gençlerde mesane kanseri, toplam mesane kanseri vakalarının çok küçük bir kısmını oluşturan, nadir fakat dikkat edilmesi gereken bir sağlık sorunudur. Genellikle 60 yaş üzerindeki bireylerde görülen bu hastalık, 40 yaş
Sistoskopi Nedir?

Sistoskopi Nedir?

Sistoskopi, idrar yollarını ve mesaneyi doğrudan görüntülemek amacıyla yapılan endoskopik bir tanı ve tedavi yöntemidir. Bu işlemde, sistoskop adı verilen ince, ışıklı ve kameralı bir cihaz idrar kanalından (üretra) mesaneye
Re TUR Ameliyatı

Re TUR Ameliyatı

Re TUR Ameliyatı (ikinci kazıma ameliyatı, yeniden ikinci kez yapılan TUM ameliyatı), mesane kanseri tanısı konulan hastalarda ilk TUR-M (idrar kanalından girilerek yapılan kapalı mesane kanseri ameliyatı) ameliyatından sonra uygulanan,
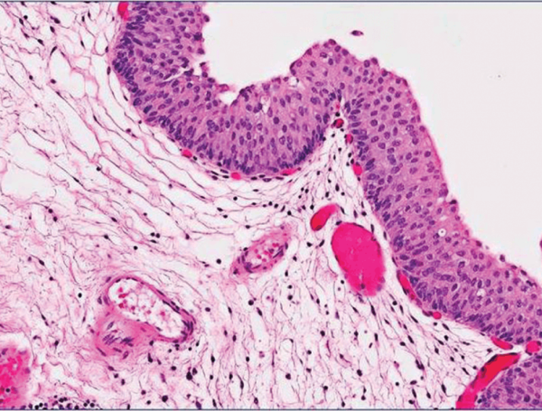
Mesane Kazıma Ameliyatı

Mesane Kazıma Ameliyatı

Mesane kazıma ameliyatı, TUR-M (TUR mesane) ameliyatı, kapalı mesane tümörü ameliyatı olarak da bilinir. TUR-M ameliyatı idrar kanalından kamera ile girilerek mesanedeki tümörlerin çıkarılması işlemidir. Üretra yani idrar kanalından girilerek
WhatsApp İletişim