pT2 Mesane Kanseri Tedavisi

pT2 Mesane Kanseri Tedavisi

pT2 mesane kanseri tedavisi, hastalığın yayılmasını önlemek ve sağkalımı artırmak amacıyla planlanır. pT2 mesane kanseri, mesane duvarının kas tabakasına invazyon göstermiş, ancak çevre yağ dokusuna yayılmamış tümörleri tanımlar. Mesane tümörü eğer mesanenin kas tabakasına (detrusor kası) ilerlemişse, buna pT2 evresi denir. Bu evre, artık yüzeyel (yüzeysel) bir tümör değil, kas tabakasına ilerlemiş ciddi bir mesane kanseri olarak kabul edilir.

pT2 Mesane Kanserinde Evreleme (Vücutta Yayılım Var mı?)

Tüm pT2 hastalarda hastalığın yayılıp yayılmadığını görmek için bazı görüntüleme testleri yapılır:

Gereken Tetkikler:

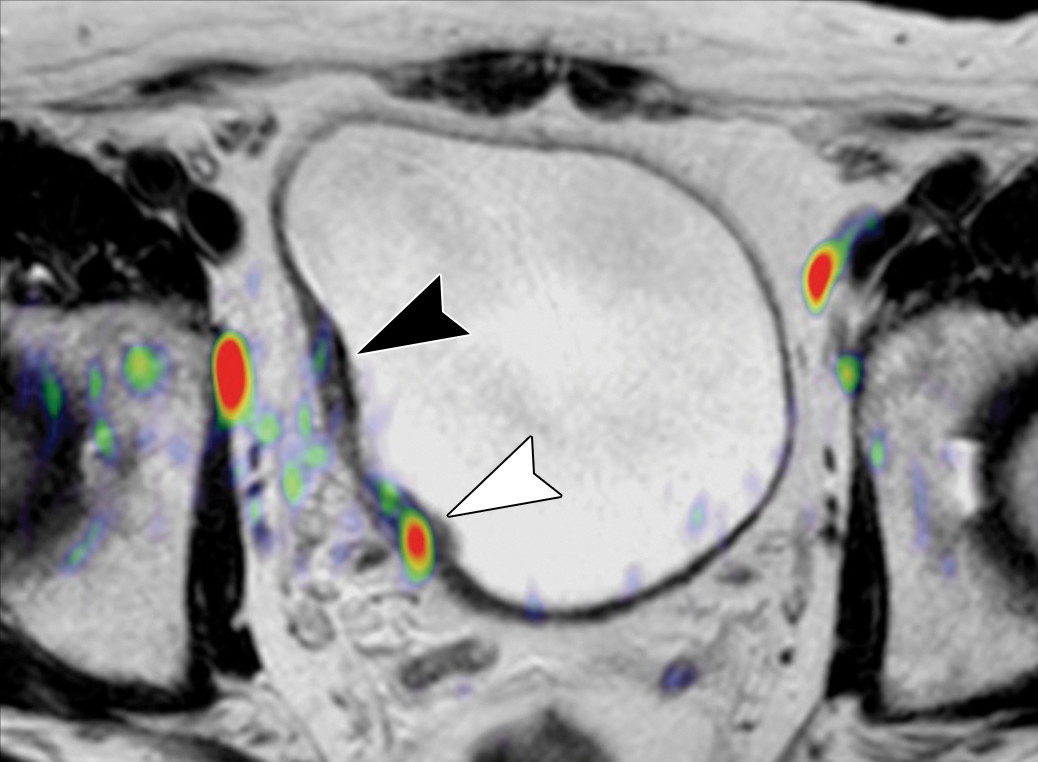
  • Kontrastlı (ilaçlı) karın-pelvis BT veya MR:
    Tümörün yayılımını ve lenf bezlerini değerlendirir.

  • Kontrastlı toraks BT:
    Akciğerlerde metastaz var mı diye kontrol edilir.

  • Gerekirse PET/BT:
    Özellikle şüpheli lenf nodları varsa ya da uzak organlara metastaz şüphesi varsa yapılır.

PET/BT Herkese Yapılır mı?

Hayır, PET/BT sadece özel durumlarda gereklidir:

PET/BT Ne Zaman Yapılır?

  • BT veya MR’da şüpheli lenf nodu görülürse

  • Uzak organ metastazı şüphesi varsa

  • Kemoterapi öncesi hastalığın yayılımını netleştirmek gerekiyorsa

  • Standart BT’nin yeterli bilgi vermediği durumlarda

Avrupa Üroloji Derneği (EAU) kılavuzları, PET/BT’nin sadece şüpheli olgularda yapılmasını önerir.

pT2 Mesane Kanseri Tedavisi 

pT2 mesane kanseri tedavisi, genellikle ameliyat öncesi kemoterapi ve sonrasında mesanenin tamamen alınmasını içerir. pT2 mesane kanseri, tümörün mesanenin kas tabakasına kadar ilerlediği bir evredir. Bu evrede hastalık artık yüzeyde sınırlı değildir ve daha ciddi bir tedavi gerektirir. Amaç, kanserin vücuda yayılmasını önlemek ve hastanın yaşam süresini uzatmaktır. Bu nedenle tedavide genellikle ameliyat öncesi kemoterapi, ardından mesanenin alınması ve lenf bezlerinin temizlenmesi uygulanır. Her hastanın durumu farklı olduğundan, tedavi planı kişinin sağlık durumuna ve tercihine göre şekillendirilir.

pT2 Mesane Kanseri Tedavi Seçenekleri

Altın Standart Tedavi (Uygun Hastalarda)

  • Neoadjuvan Kemoterapi (Ameliyat Öncesi Kemoterapi)
    Eğer böbrek fonksiyonları iyi ve genel sağlık durumu uygunsa, önce kemoterapi (cisplatin içeren) uygulanır. Bu tedavi:

    • Vücuda yayılma riski olan mikroskobik hastalığı hedefler.

    • Bazı hastalarda tümörün tamamen kaybolmasına neden olabilir.

    • Uzun vadeli yaşam süresini artırır.

  • Ardından:
    Radikal Sistektomi (mesanenin tamamen alınması) ve Lenf Nodu Temizliği yapılır.

Bu tedavi şekli Avrupa (EAU), Amerika (AUA) ve uluslararası tüm kılavuzlar tarafından güçlü şekilde önerilmektedir.

Kemoterapinin Uygun Olmadığı Durumlar

Aşağıdaki durumlarda kemoterapi yapılmadan doğrudan ameliyata geçilebilir:

  • Böbrek fonksiyonu düşükse (GFR <60 ml/dk)

  • Yaşlılık, işitme kaybı veya sinir hasarı varsa

  • Tümör çok hızlı büyüyorsa, kanama yapıyorsa, böbrekte şişmeye neden oluyorsa

  • Hasta kemoterapiyi istemiyorsa

Bu durumda direkt olarak Radikal Sistektomi + Lenf Nodu Temizliği yapılır.

Mesane Koruyucu Tedavi (Trimodal Tedavi) – Seçilmiş Olgularda

Bazı uygun hastalarda mesane alınmadan da tedavi mümkün olabilir:

Şu koşullarda uygulanabilir:

  • Tümör tek odaklıysa

  • TUR işlemiyle tüm tümör tamamen temizlenmişse

  • CIS (kanser öncüsü yaygın lezyonlar) veya böbrek şişliği yoksa

  • Hasta mesanenin alınmasını istemiyorsa veya ameliyata uygun değilse

Tedavi şunları içerir:

  • Tam tümör temizliği (TUR)

  • Ardından radyoterapi ile birlikte kemoterapi

Ancak bu tedavi herkes için uygun değildir, dikkatli hasta seçimi gerekir.

Özet Tedavi Algoritması

pT2 mesane kanseri tedavisi, hastanın genel sağlık durumu ve tedaviye uygunluğuna göre kişiye özel olarak belirlenir.

  1. TUR-M sonrası pT2 tanısı konur

  2. İlaçlı BT/MR ve Toraks BT ile yayılım araştırılır

  3. Kemoterapiye uygunluk değerlendirilir

    • Uygunsa: Kemoterapi + Mesane Alınması Ameliyatı (Radikal Sistektomi)

    • Uygun değilse: Direkt Mesane Alınma Ameliyatı

  4. Bazı özel hastalarda: Mesane Koruyucu Radyoterapi + Kemoterapi (Trimodal)

 

Prof. Dr. Yusuf İLBEY

Üroloji Doktoru

Kaynaklar:

  1. https://www.cancer.gov/types/bladder/treatment/by-stage
  2. https://cancer.ca/en/cancer-information/cancer-types/bladder/treatment/stage-2-and-3

Yorum Ekle

E-posta hesabınız yayımlanmayacak.