Mesane Kanseri Ultrasonda Çıkar Mı?
Mesane kanseri ultrasonda çıkar mı? Bu soru, mesane kanserinin erken tanısında ultrasonun etkinliği konusunda sıkça merak edilir. Mesane kanseri belli bir büyüklüğe gelmeden ultrasonda tespit edilemeyebilir. Mesane kanseri, mesane duvarını kaplayan hücrelerin kontrolsüz şekilde büyümesiyle oluşan bir kanser türüdür.
Mesane kanseri genellikle idrarda kan görülmesi, sık idrara çıkma, ağrılı idrara çıkma gibi belirtilerle kendini gösterebilir. Erkeklerde kadınlara oranla daha sık görülür ve sigara kullanımı, kimyasal maddelere maruz kalma gibi faktörler riskini artırır. Tanıda idrar tahlili, ultrason, sistoskopi ve biyopsi gibi yöntemler kullanılır. Tedavi, tümörün evresine ve derecesine bağlı olarak cerrahi, kemoterapi, radyoterapi veya immünoterapiyi içerebilir. Erken teşhis, tedavinin başarısı açısından hayati öneme sahiptir.
“Mesane kanseri ultrasonda çıkar mı?” sorusu, mesane kanserinin teşhisinde kullanılan bir yöntemle ilgili yaygın bir sorudur. Ultrasound, genellikle mesanedeki kitleleri veya anormallikleri tespit etmek için kullanılır, ancak doğrudan kanserin varlığını saptamak her zaman mümkün olmayabilir. Mesane kanseri, ultrasonda görülebilecek bazı belirgin lezyonlar veya kitleler oluşturabilir, ancak her zaman belirgin olmayabilir. Genellikle, kanserin kesin teşhisi için daha ileri tetkikler ve biyopsi gereklidir.
Mesane Kanseri Ultrasonda Çıkar Mı?

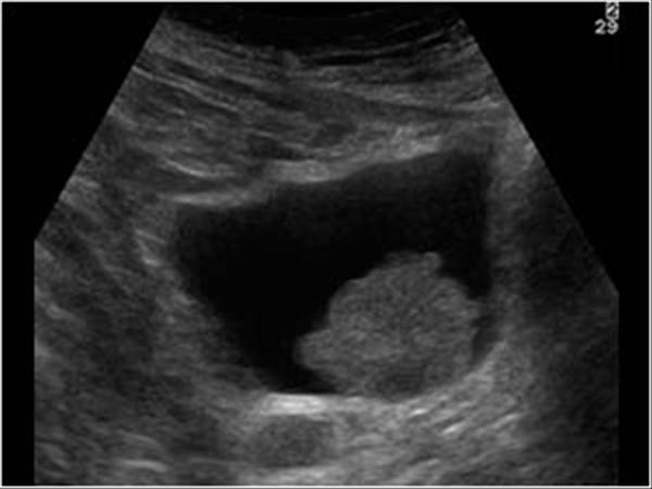
Mesane kanseri tanısı ve ultrason
Mesane kanseri ultrasonda çıkar mı? Bu sorunun cevabı, tümörün boyutuna, yerleşimine, ultrason cihazının hassasiyetine ve doktorun deneyimine bağlıdır. Mesane ultrasonu, mesanenin yapısını, boyutunu ve içindeki anormallikleri değerlendirmek için kullanılan güvenli ve ağrısız bir görüntüleme yöntemidir. Genellikle idrar torbasının dolu olduğu durumlarda yapılan bu tetkik, mesane duvarında kalınlaşma, taş, polip veya tümör gibi sorunları tespit edebilir.
Mesane kanseri şüphesi durumunda, özellikle 1 cm’den büyük tümörler ultrasonda fark edilebilir. Ancak küçük veya yüzeysel tümörler gözden kaçabilir. Bu nedenle, ultrason bulguları yeterli olmadığında sistoskopi veya ileri görüntüleme teknikleri gerekebilir. Mesane ultrasonu, tanı sürecinde başlangıç değerlendirmesi için sıkça tercih edilen bir yöntemdir.
Mesane Kanseri Ultrasonda Çıkar Mı? Mesane Kanserinde Ultrason Bulguları Nelerdir?
Mesane kanseri ultrasonda çıkar mı? Mesane kanserinde ultrason bulguları, tümörün boyutuna, yerleşimine ve mesane duvarıyla olan ilişkisine bağlıdır. Tipik ultrason bulguları şunları içerebilir:
- Mesane iç yüzeyinde kitle: Mesanenin iç boşluğuna doğru çıkıntı yapan, düzensiz sınırlı bir kitle görülebilir.
- Duvar kalınlaşması: Mesane duvarında lokalize veya diffüz kalınlaşma, kanserin derin dokulara yayılımını düşündürebilir.
- Ekojenik kitleler: Kitleler genellikle hiperekojenik (daha parlak) görünür ve mesane sıvısından ayırt edilebilir.
- Mesane içi pıhtılar: Tümör kaynaklı kanama sonucunda mesane içinde kan pıhtıları izlenebilir.
- Hidroureter veya hidronefroz: İleri evrelerde, mesane çıkışını tıkayan tümör nedeniyle böbrekte şişme gibi dolaylı bulgular da ortaya çıkabilir.
Bu bulgular kesin mesane kanseri tanısı için yeterli değildir; şüpheli durumlarda sistoskopi ve biyopsi gibi ileri tetkikler yapılması gereklidir. Mesane kanseri ultrasonda çıkar mı? sorusunun cevabı, her mesane kanseri ultrasonda tespit edilemez olmalıdır.
Mesane Kanseri Ultrasonda Çıkar Mı? Ultrasonun Sınırlamaları Nelerdir?
Mesane Kanseri Teşhisinde Diğer Yöntemler
Mesane kanseri ultrasonda çıkar mı? Ultrasonda mesanedeki anormallikler veya şüpheli yapılar fark edilebilir, ancak kanserin olup olmadığını kesin olarak söylemek için genellikle daha fazla test yapılması gerekir. Mesane kanseri teşhisinde ultrason dışında birçok farklı yöntem de kullanılmaktadır. Bunlar arasında en yaygın olanı sistoskopi olup, mesane içinin doğrudan gözlemlenmesini sağlar ve biyopsi alınarak kanserin varlığı kesin olarak tespit edilir.
Ayrıca, bilgisayarlı tomografi (BT) ve manyetik rezonans görüntüleme (MRG), tümörün boyutunu, evresini ve diğer organlara yayılıp yayılmadığını değerlendirmek için kullanılır. Biyopsi, kesin tanı koymada önemli bir rol oynarken, idrar testleri de kanser hücrelerini veya kanserle ilişkili molekülleri tespit etmek için yardımcı olabilir.
Pozitron emisyon tomografisi (PET), kanserin vücudun diğer bölgelerine yayılıp yayılmadığını görmek için kullanılan ileri düzey bir görüntüleme yöntemidir. Bu yöntemler, mesane kanserinin doğru bir şekilde teşhis edilmesi, evresinin belirlenmesi ve tedavi planının oluşturulmasında birbirini tamamlayıcı olarak kullanılır.
Sonuç

Üroloji Doktoru
İlgi alanları arasında mesane kanseri ve yapay mesane bulunmaktadır. Hastalarına tıbbi değerlendirmeleri doğrultusunda tedavi sürecine katkı sağlamaktadır.