Ürotelyal Neoplazi
Ürotelyal neoplazi, idrar yollarının içini döşeyen tabaka olan ürotelyum tabakasında gelişen bir tür anormal doku büyümesidir. Bu büyüme iyi huylu (kanserli olmayan) veya kötü huylu (kanserli) olabilir.
Ürotelyal Neoplazi Nedir?
Ürotelyal neoplaziler, idrar yollarını döşeyen ürotelyum tabakasındaki hücrelerinden kaynaklanan tümörlerdir. Ürotelyum tabakası, böbrek içinden dış idrar kanalına (üretra) kadar uzanan özel bir tabakadır. Ürotelyal neoplaziler, genellikle mesane, üreter ve böbrek içi boşluklarda (böbrek pelvisi) görülür. İyi huylu veya kötü huylu (kanser) olabilir.
En sık karşılaşılan tipi ürotelyal karsinomdur ve bu, özellikle mesane kanseri vakalarının büyük bir kısmını oluşturur. Sigara kullanımı, kimyasal maruziyetler ve kronik irritasyon gibi çevresel ve genetik risk faktörleri, bu hastalığın gelişiminde önemli rol oynar. Erken teşhis ve uygun tedavi ile hastalığın seyri büyük ölçüde kontrol altına alınabilir.
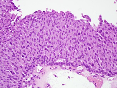
Ürotelyal Neoplazinin Türleri
- Papiller ürotelyal neolplazi (Papillom): İyi huylu bir tümör türüdür. Genellikle mesanede bulunur ve nadiren kansere dönüşür.
- Düşük dereceli papiller ürotelyal neoplazi: Kansere dönüşme riski düşük olan bir tür anormal doku büyümesidir. Genellikle mesanede bulunur ve tekrarlama eğilimi gösterebilir.
- Yüksek dereceli papiller ürotelyal neoplazi: Kansere dönüşme riski yüksek olan bir tür anormal doku büyümesidir. Genellikle mesanede bulunur ve hızlı bir şekilde büyüyebilir.
- Ürotelyal karsinom: Ürotelyal neoplazinin kanserli formudur. Mesane, üreterler, üretra ve böbrek pelvisinde gelişebilir.
Ürotelyal Neoplazinin Belirtileri
Belirtiler, tümörün yerleşimine, boyutuna ve hastalığın evresine bağlı olarak değişiklik gösterebilir. En sık görülen belirti, idrarda kan görülmesi (hematüri) olup, bu genellikle ağrısızdır ve aralıklı olabilir.
Bunun yanı sıra sık idrara çıkma, idrar yaparken ağrı veya yanma hissi (dizüri) ve idrar yapmada zorluk gibi alt üriner sistem semptomları da görülebilir. Daha ileri evrelerde, sırt veya yan ağrısı, kilo kaybı, halsizlik ve tümörün çevre dokulara veya uzak organlara yayılmasına bağlı diğer sistemik belirtiler ortaya çıkabilir.
Belirtiler başka idrar yolu hastalıklarını da taklit edebileceğinden, bu semptomların varlığında uzman bir doktora başvurulması önemlidir.
Ürotelyal Neoplazinin Nedenleri
Nedenler arasında çevresel faktörler ve genetik yatkınlıklar bulunmaktadır. Sigara kullanımı, hastalığın en önemli risk faktörlerinden biridir; çünkü tütün dumanında bulunan kimyasal maddeler, idrar yolundan geçerken ürotelyal hücrelere zarar verebilir.
Ayrıca, endüstriyel kimyasallara maruz kalma (örneğin, boya, kauçuk ve tekstil sektörlerinde çalışanlar için) ürotelyal neoplazi riskini artırır. Kronik idrar yolu enfeksiyonları, taşlar ve uzun süreli irritasyonlar da risk faktörleri arasındadır.
Böbrek hastalıkları nedeniyle siklofosfamid gibi bazı kemoterapötik ilaçların kullanımı veya radyasyon tedavisi de hastalığın gelişiminde rol oynayabilir. Genetik faktörler ve ailesel yatkınlık da bazı bireylerde hastalığın oluşumunu kolaylaştırabilir.
Bu nedenlerin anlaşılması, hastalığın önlenmesi ve erken teşhis için kritik önem taşır.
Ürotelyal Neoplazinin Tanısı
Tanı, klinik belirtilerin değerlendirilmesi, laboratuvar testleri ve görüntüleme yöntemlerinin bir arada kullanılmasıyla konur. İdrarda kan (hematüri) tespit edildiğinde, mikroskopik veya makroskopik olsun, ürotelyal neoplazi olasılığı araştırılır.
Tanıda idrar sitolojisi, idrarda anormal hücrelerin varlığını incelemek için kullanılır ve özellikle yüksek dereceli tümörlerde değerlidir. Görüntüleme yöntemleri arasında ultrasonografi, bilgisayarlı tomografi (BT) ürografi ve manyetik rezonans görüntüleme (MRG), tümörün yerini, boyutunu ve yayılımını belirlemede önemli rol oynar.
Kesin tanı, genellikle sistoskopi ile mesane veya üreterin görsel olarak incelenmesi ve şüpheli alanlardan biyopsi alınarak patolojik değerlendirme yapılmasıyla konur. Bu kombine yöntemler, hastalığın doğru bir şekilde sınıflandırılması ve tedavi planlaması için gereklidir.
Ürotelyal Neoplazi Tedavisi
Tedavi, tümörün tipi, evresi, derecesi ve hastanın genel sağlık durumu gibi faktörlere bağlı olarak belirlenir.
Yüzeyel ürotelyal tümörlerde, genellikle transüretral rezeksiyon (TUR) ile tümör çıkarılır ve ardından nüks riskini azaltmak için mesane içine intravezikal tedavi uygulanır. Bu tedavi, kemoterapi ilaçları veya Bacillus Calmette-Guérin (BCG) gibi immünoterapiler içerebilir.
Daha ileri evrelerde, radikal sistektomi (mesanenin cerrahi olarak çıkarılması) veya üreter ve böbrek pelvisindeki tümörler için nefrektomi gerekebilir.
Metastatik hastalık durumunda, kemoterapi ve immünoterapiler (örneğin, immün kontrol noktası inhibitörleri) sıklıkla kullanılır.
Tedavi sırasında düzenli takip ve görüntüleme, hastalığın kontrolü ve olası nükslerin erken tespiti açısından büyük önem taşır. Tedavi planı, genellikle multidisipliner bir ekip tarafından hastaya özel olarak hazırlanır.
Prof. Dr. Yusuf İLBEY
Üroloji Doktoru
Kaynak:

Üroloji Doktoru
İlgi alanları arasında mesane kanseri ve yapay mesane bulunmaktadır. Hastalarına tıbbi değerlendirmeleri doğrultusunda tedavi sürecine katkı sağlamaktadır.